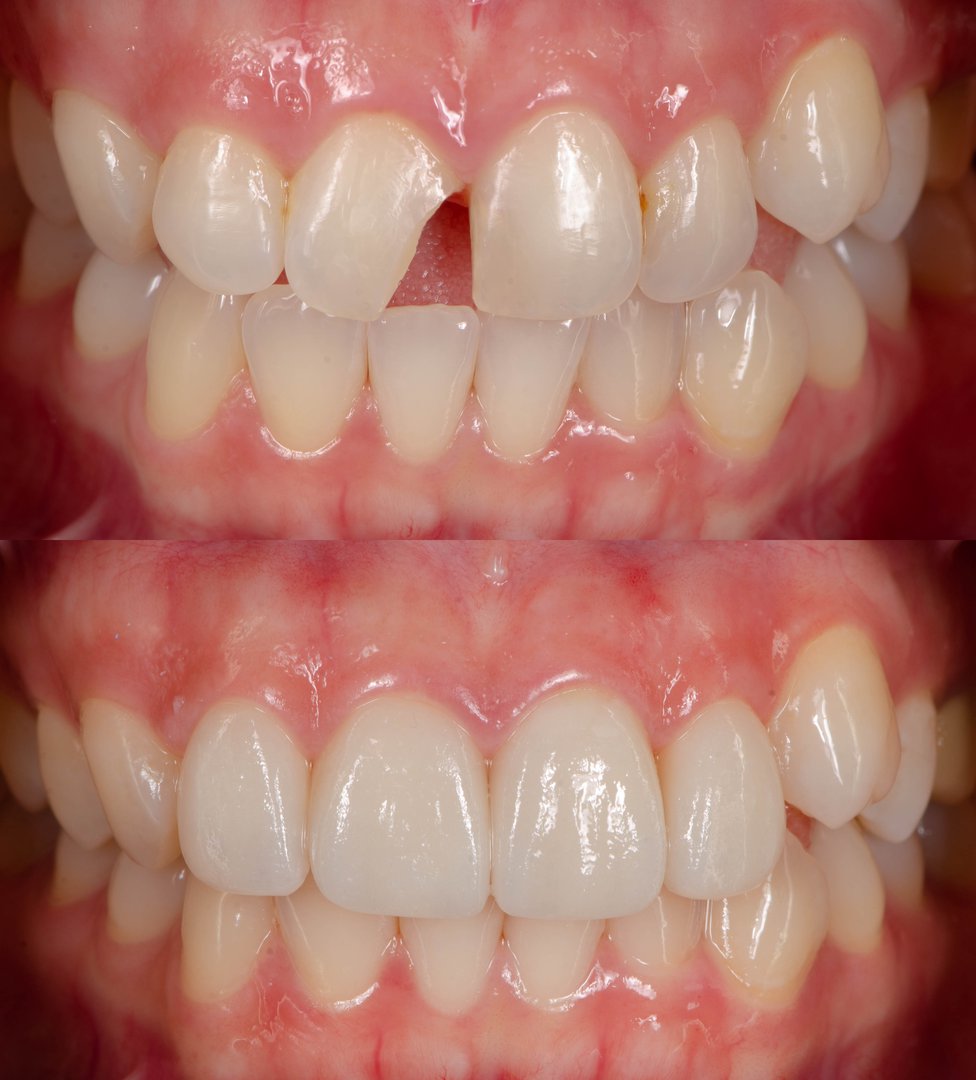
Broken Tooth Treatment in West Jordan, UT
Broken Tooth Treatment A broken tooth can be a shock, but it doesn’t have to ruin your day. Getting prompt and professional care helps restore not only the function of your tooth but also your confidence in your smile. With the right dental team, you’ll feel supported and informed every step of the way. Common …
Read More
Best Dental Implant Dentist Near Me in West Jordan, UT
Best Dental Implant Dentist Near Me When you’re looking for the best dental implant dentist near you, experience and professionalism matter. You want to feel confident that the dentist you choose has the skill, care, and dedication to help you restore your smile with lasting results. A knowledgeable and supportive dental team can make the …
Read More
Best Emergency Dentist in West Jordan, UT
Best Emergency Dentist When a dental emergency happens, you want to be treated by a dentist who brings experience, professionalism, and a calming presence to your situation. The best emergency dentist will not only treat the problem quickly—they’ll also take the time to explain your options and help you feel in control of your care. …
Read More
Best Dental Implant Dentist in West Jordan, UT
Best Dental Implant Dentist Finding the best dental implant dentist means choosing a dentist who brings skill, professionalism, and a commitment to personalized care. When you’re considering dental implants, you want to feel confident that your dentist will guide you clearly through every step, answer your questions, and help you make choices that are right …
Read More
Tooth Pain Treatment Near Me in West Jordan, UT
When tooth pain arises, the anxiety and discomfort can be overwhelming. A compassionate and attentive dental practice understands this and prioritizes creating a calming and supportive environment. From the moment you step into the office, you should feel reassured that your well-being is their top concern. The staff’s focus on your comfort extends to every …
Read More
Top Rated Dental Implant Dentist in West Jordan, UT
Top Rated Dental Implant Dentist Comfort matters when you’re considering dental implants, and working with a top rated dental implant dentist can make all the difference. From the first consultation to the final restoration, feeling at ease throughout the process helps build confidence and ensures that your experience is as smooth and stress-free as possible. …
Read More
Emergency Dental Appointments Near Me in West Jordan, UT
Emergency Dental Appointments Near Me When something unexpected happens with your teeth or gums, you want to know you’re turning to a dentist who is both highly skilled and genuinely focused on your well-being. Dental emergencies can be stressful, but a professional who has experience, confidence, and compassion can make all the difference. The right …
Read More
Best Dental Implants Treament Near Me in West Jordan, UT
Best Dental Implants Treatment Near Me Feeling comfortable and supported during your dental care makes a big difference—especially when you’re considering dental implants. When your treatment happens in a calm, welcoming environment with a nearby dentist you trust, the process feels more manageable and less overwhelming from start to finish. What are dental implants? Dental …
Read More
Best Emergency Dentist Near Me in West Jordan, UT
Best Emergency Dentist Near Me When you’re in pain or dealing with a dental emergency, you are the top priority. The best emergency dentist near you will not only treat the problem quickly—they’ll also help you feel safe, supported, and cared for every step of the way. Knowing you have someone to count on during …
Read More
Best Dental Implant Dentist Near Me in West Jordan, UT
Best Dental Implant Dentist Near Me Your comfort matters just as much as the outcome, especially when you’re considering dental implants. Choosing a dentist nearby who helps you feel relaxed, heard, and supported throughout the process can transform what might feel intimidating into a smooth, reassuring experience. What are dental implants? A dental implant is …
Read More